
Posted on: April 9, 2024
Teeth are targets for cavities As soon as teeth erupt, they are susceptible to decay. Early childhood caries, also known as "baby bottle tooth decay," can appear as a subtle white streak near the guml....
Posted on: March 4, 2024
The reasons to treat sensitive teeth One of the most common problems in dentistry is sensitive teeth. If you have sensitive teeth, you may feel discomfort when they are exposed to cold air, hot or co....
Posted on: March 4, 2024
Any time the pulp of a tooth has been injured or irritated, there is a possibility that it may become swollen and painful. This inflammation is called pulpitis. Treating the condition will relieve dis....
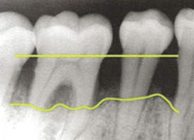
Posted on: February 1, 2024
When primary teeth (also called baby teeth) do not fall out like they should, it is sometimes necessary to remove them, so the permanent teeth can come in correctly. When extraction may be necessary A....
Posted on: January 3, 2024
When an extraction is necessary When too much bone around a tooth has been lost due to severe periodontal disease (also called periodontitis), sometimes the best treatment is to remove the tooth to ma....
Posted on: November 30, 2023
Harmful oral habits Children can develop a variety of oral habits that can affect the normal development of their teeth and jaws. These habits can include- sucking a thumb or finger, sucking a pacifi....Dr. Rehder and the entire staff are friendly and compassionate. They accommodate my needs as a patient and treat me as a personal friend. Professionally, they provide the utmost care and advice, the patient always comes first. I can’t say enough positive comments about this practice.
~Review by Eileen S.
Dr. Rehder is very professional, yet not too serious as he is doing your teeth. He makes it relaxing and is able to keep your mind away from his work (I have never liked going to the dentist, but Dr. Rehder makes the experience as close to pleasant as a dentist visit can be).
~Review by Mary Ellen M.
Thank you Dr. Rehder and Christine for the "always exciting" and "never a dull moment" orthodontist appointment. See you in two weeks to do it all over again. Ok maybe-not ALL over again.
~Review by Elena C.
I had a great experience with Dr. Rehder. He is very informative and professional. All of the staff were so nice and helpful. My overall experience was one of the best I had with a dental office. I would definitely recommend people to come here.
~Review by Paulina C.
Professional staff. Makes you feel at ease, would highly recommend.
~Review by Diane S.
Always wonderful visits at Pinefield Dental. I've been a patient since the very early 90s. The staff is my extended family & takes care of my teeth with the utmost professionalism. This is my dental home.
~Review by Kenneth C.
The doctor and staff were wonderful. My experience is always great. The staff is very caring and always professional. The hours are very convenient as well. They will be able to accommodate anyone's schedule.
~Review by Amanda C.
Richard F. Gittleson, DDS Reviews No one likes/enjoys going to the dentist, but our dentist (Dr. Gittleson) and his staff are so pleasant they help relieve a patient fears.
~Review by Patricia L.
Highly recommended, I’ve been a patient since 1983.
~Review by Charles G.
Excellent.
~Review by Dom J.