
Posted on: October 3, 2023
When an extraction is necessary When the root of a tooth is fractured and cannot be saved, extracting the tooth can be the best choice for relieving pain and preventing infection. Some fractured teeth....
Posted on: September 4, 2023
Dry socket is an inflammation that occurs when the blood clot that forms in the socket after a tooth extraction becomes dislodged or does not form properly. The clot is necessary to protect the socket....
Posted on: September 4, 2023
When an extraction is necessary When a tooth is severely decayed and cannot be saved, extracting it can be the best choice for relieving pain and preventing the spread of infection. Most deca....
Posted on: August 1, 2023
Bruxism is a condition in which you grind or clench your teeth. If you have bruxism, you may unconsciously clench your teeth when you're awake or clench or grind them during sleep. Sleep bruxism is co....
Posted on: August 1, 2023
Causes of ankylosis Ankylosis is a condition in which a tooth fuses to the bone, preventing normal tooth growth. This condition can happen to a primary or permanent tooth and can be caused by trauma o....
Posted on: June 1, 2023
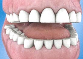
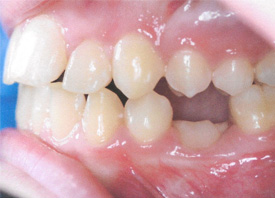
Overhangs cause dental problems When a restoration is too bulky in the area where the restoration meets the tooth, we call it an overhang. In contrast, with an ideal restoration, there is a seamless t....Dr. Rehder and the entire staff are friendly and compassionate. They accommodate my needs as a patient and treat me as a personal friend. Professionally, they provide the utmost care and advice, the patient always comes first. I can’t say enough positive comments about this practice.
~Review by Eileen S.
Dr. Rehder is very professional, yet not too serious as he is doing your teeth. He makes it relaxing and is able to keep your mind away from his work (I have never liked going to the dentist, but Dr. Rehder makes the experience as close to pleasant as a dentist visit can be).
~Review by Mary Ellen M.
Thank you Dr. Rehder and Christine for the "always exciting" and "never a dull moment" orthodontist appointment. See you in two weeks to do it all over again. Ok maybe-not ALL over again.
~Review by Elena C.
I had a great experience with Dr. Rehder. He is very informative and professional. All of the staff were so nice and helpful. My overall experience was one of the best I had with a dental office. I would definitely recommend people to come here.
~Review by Paulina C.
Professional staff. Makes you feel at ease, would highly recommend.
~Review by Diane S.
Always wonderful visits at Pinefield Dental. I've been a patient since the very early 90s. The staff is my extended family & takes care of my teeth with the utmost professionalism. This is my dental home.
~Review by Kenneth C.
The doctor and staff were wonderful. My experience is always great. The staff is very caring and always professional. The hours are very convenient as well. They will be able to accommodate anyone's schedule.
~Review by Amanda C.
Richard F. Gittleson, DDS Reviews No one likes/enjoys going to the dentist, but our dentist (Dr. Gittleson) and his staff are so pleasant they help relieve a patient fears.
~Review by Patricia L.
Highly recommended, I’ve been a patient since 1983.
~Review by Charles G.
Excellent.
~Review by Dom J.